Novinky
Trápí vás postcovid? Hledejte MLS laser
Přes aktuální rozvolňování protiepidemických opatření a klesající čísla nově nakažených i hospitalizovaných s onemocněním covid-19 část lidí nadále řeší zdravotní důsledky nemoci. Celých 10 procent pacientů, kteří covid v lehké, střední nebo těžké formě prodělali, pociťuje nově pojmenované onemocnění: postcovidový syndrom. Pomoc nejčastěji hledají s přetrvávajícími obtížemi v oblasti plic.

Účinek MLS laseru je podle evidovaných zahraničních studií provedených na lidech i zvířatech výrazně protizánětlivý a to platí i pro případ covidové pneumonie. Působí na principu blokády tvorby interleukinu 6, který je zodpovědný za imunitní odpověď organismu a vznik tzv. cytokinové bouře, této i mediálně známé covidové komplikace. Právě cytokinová bouře (přehnaná imunitní reakce organismu) je jedním z hlavních aspektů zhoršení klinického stavu pacienta a může způsobit selhání plicních funkcí vedoucí až k nutnosti nasazení umělé plicní ventilace.
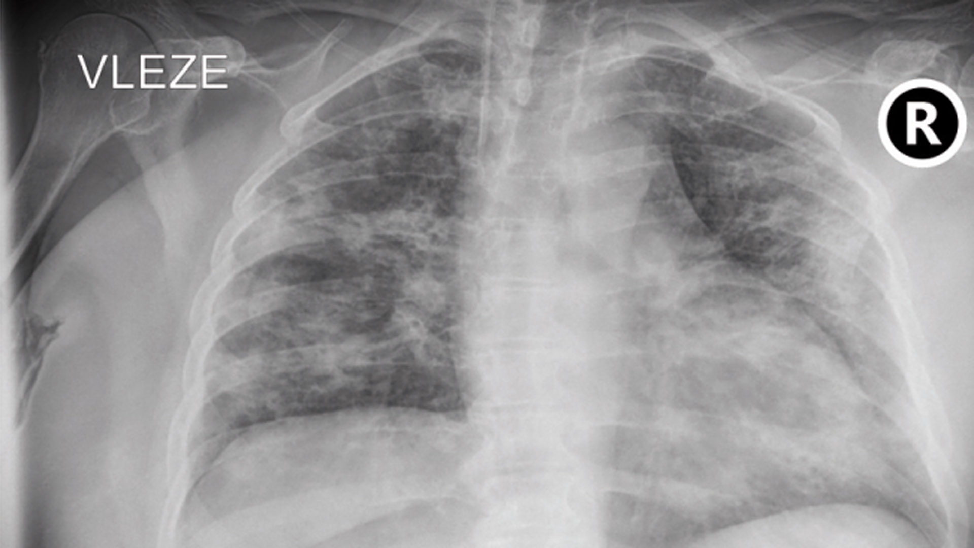
Primář Cibulka z rehabilitace neváhal a s MLS laserem začalo jeho oddělení pomáhat pacientům na covidové jednotce kolínské nemocnice. Od loňského podzimu touto laserovou terapií ošetřili plíce 118 hospitalizovaných akutních pacientů, z nichž pouze devět na podpůrnou léčbu nereagovalo. Z pečlivě vedené kazuistiky včetně rentgenových snímků, laboratorních výsledků a sledování saturace kyslíkem je zřejmé, že zapojení (MLS) laseru do léčby dokázalo zlepšit klinický stav pacientů, zmírnit zánět v plicích, usnadnit vyléčení a zkrátit i čas pobytu na jednotce intenzivní péče. Svou roli sehrál aspekt včasného ovlivnění fibrózy plic, která po velkém zánětu nastane. (Laicky řečeno fibróza znamená zjizvení a následnou nefunkčnost plicní tkáně po proběhlém zánětlivém procesu.)

Dr. Cibulka veze MLS laser na covidovou jednotku
V zimním čase a v nouzovém stavu, kdy JIPky a covidária praskaly ve švech a zdravotníci tamtéž padali únavou, se po „kolínském vzoru“ zapojili s MLS lasery nad akutními pacienty lékaři napříč republikou. Prosadit známou a lety prověřenou fyzikální terapii do léčby covidových pacientů ale nebylo zpočátku úplně jednoduché. Leoš Navrátil, přednosta klinického pracoviště Fakulty biomedicínského inženýrství ČVUT v Praze Therap Tilia, k tomu uvádí, že odborné kruhy byly z počátku skeptické. Neexistovala totiž zkušenost s použitím MLS laserové terapie na onemocnění způsobené virem. Až zahraniční poznatky a jasné výsledky Lukáše Cibulky ukázaly, že jedna z léčebných cest to je. „Lékaři mají omezené možnosti, jak léčit covidové pneumonie, a léčí pouze symptomaticky, protože žádná cílená léčba nebyla dosud vymyšlena,“ zmínil Lukáš Rokos, primář anesteziologie a resuscitace Oblastní nemocnice Kladno, na jehož pracovišti jako první na světě použili MLS laser i na zaintubované pacienty. Sluší se uvést, že fyzikální léčba, kam spadá i laser, není hrazena ze zdravotního pojištění. Ošetření akutních covid pacientů technologií MLS si nemocnice nijak neúčtovaly.

V průběhu léčby akutních covidových pacientů MLS laserem lékaři zaznamenali, jak v zahraničních studiích, tak ve vlastní praxi, výrazné proregenerační účinky. Diagnostika pomocí rentgenových snímků hovoří jasně – i stav již poškozené plicní tkáně se po aplikaci terapie většinou zlepšuje. Lasery se tak s odezníváním vlny epidemie přesunují k pacientům s novým onemocněním, s postcovidovým syndromem.
Michal Kopecký, vedoucí Centra postcovidové péče Fakultní nemocnice Hradec Králové, shrnuje, že se bohužel jedná o 10 procent osob, které covid-19 prodělaly, a to bez ohledu na to, zda se jednalo o mírný nebo těžký průběh. Nejčastěji si stěžují na dušnost, extrémní únavu, poruchy spánku a bolesti hlavy či kloubů. Stejnou zkušenost má i Lukáš Cibulka, který nyní místo akutních pacientů léčí ty postcovidové. Zatím eviduje přes 80 ukončených terapií, přičemž pouze čtyři osoby na léčbu nezareagovaly. Současně upozorňuje na rentgenologicky zjištěná masivní poškození plic i u pacientů, kteří prodělali covid-19 ve zdánlivě lehké formě v domácím ošetřování.
Léčbou postcovidového syndromu se zabývá i Jana Martinková, lékařka specialistka v oboru rehabilitační a fyzikální medicíny v brněnském centru Chironax. S lasery pracuje přes 20 let a zmiňuje, že pokud se správně aplikují a správně dávkují, tak v zásadě nemají žádnou kontraindikaci. Jednou z mála kontraindikací by bylo nádorové bujení v místě, na které by se laser zaměřoval. Navíc nejsou známé významnější vedlejší účinky, které by MLS laser způsoboval. „U tablet je to všelijaké,“ doplňuje podle informací lékařů jeden z prvních postcovidových pacientů ošetřených MLS laserem a současně ředitel nemocnice s poliklinikou Karviná-Ráj a Orlová Ivo Žolnerčík. Tečku za informacemi poskytl Leoš Navrátil: „Při použití MLS laseru dochází k přeměně energie světelné v energii chemickou a chemická se projevuje v aktivitě některých enzymů. Enzymy se ukázaly jako výborné při regresi zánětlivého postižení plic covidovou virózou. U postcovidového syndromu je použití laseru naprosto nezpochybnitelné.“
Po svém MLS laseru pro léčbu postcovidových pacientů zatoužila i městská Nemocnice Slaný, ale chyběly jí finance. Její internista a nyní vedoucí postcovidové ambulance Matěj Falc inicioval uspořádání benefičního koncertu, který byl ještě v době uzávěry přenášen on-line na kanálu YouTube. Na akci vystoupili Jaroslav Svěcený, David Koller, písničkář Pokáč, Jitka Smutná, David Písařík a kapela Poetika. Na zakoupení přístroje, který již slouží nemocným, se podařilo koncertem vybrat 400 tisíc korun.
Ošetření plic pacienta MLS laserem
Ať už jde o ošetření akutního, nebo postcovidového pacienta, je aplikace MLS laseru stejná. Ošetřovaný nebo ošetřovaná leží na lůžku na břiše a lékař nebo jiný odborně vyškolený pracovník nastaví „zaměřovač“ přístroje na jednu a poté druhou stranu plic. Každé plicní pole je pak přibližně 15 minut laserem ozařováno. Celé ošetření tedy trvá přibližně 30 minut a opakuje se podle indikace lékaře v denních nebo vícedenních intervalech až desetkrát. Světelný paprsek laseru může poškodit oči, proto se ošetřovaný pacient musí chránit speciálními brýlemi.
Nejste po prodělaném covidu ještě „v cajku“? A špatně se vám dýchá? Nebo vám po covidu „haprují“ zaměstnanci? Poohlédněte se ve svém okolí, kde se nabízí terapie MLS lasery.
Hana Zeus
www.mlsterapie.cz